Guías de práctica clínica
Estimados socios, Desde GuíaSalud nos hacen llegar las últimas publicaciones del Programa de GPC en el
Sign up to get update news about us

Estimados socios, Desde GuíaSalud nos hacen llegar las últimas publicaciones del Programa de GPC en el

Nos complace haceros llegar el primer documento de posicionamiento sobre un fármaco realizado por nuestra Sociedad con

SEVRRA(Edición MARR) "Sistema de evaluación de riesgo en radioterapia" Puede descargar las guías de “Matrices de

Volúmenes Blancoen Radioterapia conformada 3D Se puede definir la radioterapia conformada 3D como una técnica de

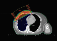
Tratamiento Oncológicode Cabeza y Cuello En la última década, uno de los mayores avances en la

Cáncer dePróstata La estandarización del PSA en hombres mayores de 50 años ha cambiado la presentación

Cáncerde Pulmón Lung cancer is the mast common cancer in the world, representing 12.4% of all

Nuevas Tecnologías y Cuidadosen Oncología Radioterápica Disponer de una Enfermería Oncológica experimentada en el paciente Oncológico

La Braquiterapia 3Dguiada por la Imagen La BT es parte fundamental del tratamiento de los tumores

HipertermiaOncológica La hipertermia oncológica es un tratamiento generalmente desconocido entre la comunidad oncológica española. Sin embargo,

Manual Prácticode Oncología Radioterápica La Sociedad Española de Oncología Radioterápica (SEOR), con el gran esfuerzo de

ONCOURG Guía Práctica de Actuación en Urgencias Oncológicas para Especialistas Internos Residentes y Médicos de Atención Primaria. Editores:David M

Delimitación de Volúmenesde Irradiación de Tumores Digestivos Grupo de Tumores Digestivos Sociedad Española de Oncología Radioterápica

El cáncerde Páncreas Guía para pacientes y familiares “Cáncer de Páncreas, Alimentación y Calidad de Vida"

Guías de práctica clínicaen cáncer ginecológicoy mamario Durante el pasado año, se actualizó la guia de

Recomendaciones de la SEORpara la Protonterapiaen España Las ventajas de los protones, las evidencias científicas desarrolladas

Guia de Tumores GinecológicosOncología Radioterápica La patología neoplásica cervical es de gran trascendencia clínica ya que

Cáncer de mama. Definición y tratamiento deradioterapia, prevención y cuidados. La radioterapia es un pilar básico